

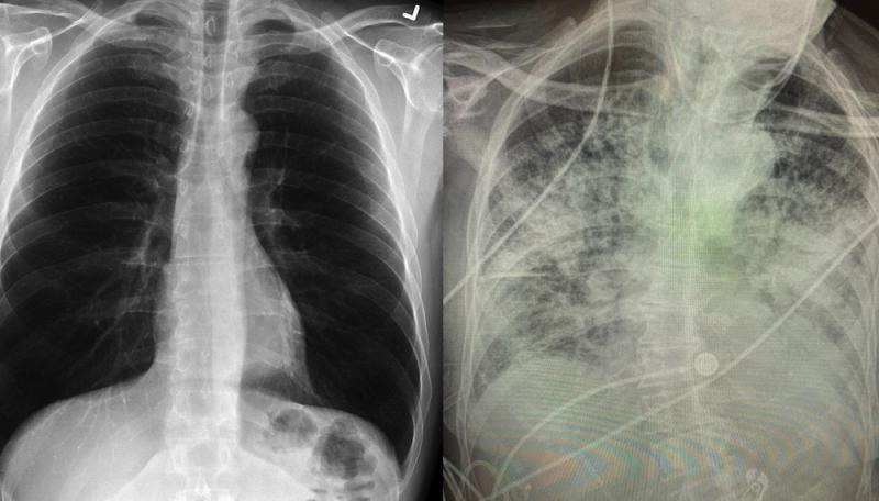
De acuerdo a una doctora de Texas, los pulmones después de sufrir la enfermedad de la COVID-19 pueden presentar un daño severo, incluso en casos asintómaticos, incluso peor que en casos de fumadores.

\"Incluyen probabilidad de desarrollar síntomas graves en caso de padecer COVID-19\", es la etiqueta que busca un diputado panista que presenten los paquetes de productos de tabaco.

El diputado petista, Manuel Huerta Martínez proponer aumentar 1 peso con 49 centavos por cigarro enajenado o importado, esto para inhibir su consumor y recaudar 15 mil 900 milloes de pesos para investigación y prevención del tabaquismo.

Los adolescentes que fuman con cigarrillos electrónicos y normales tienen 7 veces más probabilidad de contagiarse

Expertos afirman que las microgotas que se expelen al hablar, toser o estornudar son el principal medio de transmisión del virus.